Tumor Phyllodes de la mama:

Estudio clínico-patológico de 77 casos en una cohorte hispana

Translated title (en): Phyllodes tumor of the breast
Translated Subtitle: a clinic-pathologic study of 77 cases in a Hispanic cohort


Resumen

Introducción:

Los tumores phyllodes mamarios son Tumores infrecuentes en la mama presentes en menos del 1% de los casos nuevos de cáncer mamario, por lo general ocurre en mujeres de mediana edad (40-50 años).

Objetivo:

Este estudio muestra la experiencia de diagnóstico, tratamiento quirúrgico y seguimiento de los pacientes con esta variedad de tumor durante un período de diez años en un centro de referencia oncológico.

Métodos:

Retrospectivamente, los registros de cáncer de mama en la institución fueron revisados, se identificaron 77 pacientes con tumores phyllodes entre 2002 y 2012, que habían sido operados en el Instituto de Cancerología - Clínica Las Américas, en Medellín (Colombia). Los datos clínicos e histopatológicos pertenecientes a estos casos fueron recolectados y analizados utilizando técnicas de estadística descriptivas.

Resultados:

La mediana de seguimiento fue de 22.5 meses (RIC: 10.5-60.0), la Media de edad fue de 47.2 años (DE: 12.4), tamaño medio del tumor fue de 3.6 cm (DE: 4.6), 88.3% de los pacientes (68 casos) presentaron márgenes negativos y ninguno de ellos recibieron quimioterapia adyuvante. De los pacientes con tumores phyllodes; 33.8% fueron benignos, 31.2% Borderline y 35.0% phyllodes maligno. Supervivencia libre de enfermedad fue 85.8% y la supervivencia global fue de 94.5%.

Discusión:

Los datos reportados en este artículo están acordes con lo que se ha reportado en la literatura mundial. En nuestra cohorte, a pesar de que el tamaño promedio de los tumores fue mayor, el riesgo de recidiva local y las tasas de enfermedad metastásica es menor que el reportado previamente en la literatura. Los ensayos con seguimiento más prolongado, y los ensayos moleculares en tumores phyllodes son necesarios para comprender de una manera más precisa el comportamiento de estos tumores en la población hispana.

Abstract

Introduction:

Breast Phyllodes tumors are rare breast tumors present in less than 1% of new cases of breast cancer, usually occurring among middle-aged women (40-50 yrs).

Objective:

This study shows diagnostic experience, surgical management and follows up of patients with this disease during a period of ten years in a oncology referral center.

Methods:

Retrospectively, breast cancer registries at the institution were reviewed, identifying 77 patients with Phyllodes tumors between 2002 and 2012, who had been operated on at the Instituto de Cancerología - Clínica Las Américas, in Medellín (Colombia). Clinical and histopathological data belonging to these cases was captured and analyzed and descriptive statistics were used.

Results:

The follow up median was 22.5 months (IQR: 10.5-60.0), average age was 47.2 yrs (SD: 12.4), mean tumor size was 3.6 cm (SD: 4.6), 88.3% of the patients (68 cases) presented negative margins and none of them received adjuvant chemotherapy. Of the patients with Phyllodes tumors; 33.8% had benign, 31.2% had borderline and 35.0% had malignant tumor. Disease-free survival was 85.8% and overall survival was 94.5%.

Discussion:

Reported data in this article is in accordance with what has been reported in worldwide literature. In our cohort even the high mean size of the tumors, the risk of local relapse and metastatic disease is low than previously reported in literature. Trials with longer follow up and molecular trials in Phyllodes tumors are necessary to understand the behavior of these tumors in Hispanics population.


Introducción

El Tumor Phyllodes primario de mama (TP) es un tumor poco frecuente, que representa el 0,5% de todos los tumores de mama 1. Está formado por estroma y tejido de origen Epitelial, por lo que se clasifica como parte de los tumores de mama bifásicos 2. El término original de Cystosarcoma Phyllodes fue acuñado por Johannes Muller en 1838 para denominar un tumor que macroscópicamente tenía la apariencia de la carne de pescado 2. La OMS en 1981 sub-clasificó estos tumores histológicamente como benignos, borderline, o maligno. La incidencia de casos benignos es del 35-64%, mientras que los tumores malignos comprenden 25% de los casos 2,3. En comparación con la media de edad de los pacientes con fibroadenoma, los pacientes con tumores phyllodes se diagnostican en edades más avanzadas, con un promedio de 40 a 50 años 1,3,4. Sin embargo, la edad media es menor que la de los pacientes con carcinoma ductal y lobular invasor.

El TP corresponde al 0.5% a 1.0% de todos los tumores de la mama y al 2.5% de todos los tumores fibroepiteliales. Estimaciones base poblacional indican que la incidencia de TP maligno es de 2.1 casos por cada millón de mujeres, con más frecuencia en las mujeres blancas latinas y asiáticas. En el ensayo de Pimiento et al., Con 124 pacientes con TP en los EE.UU. el 43% fueron los hispanos que presentaron mas porcentaje de tumores borderline y malignos (p <0.001). En este mismo ensayo los pacientes hispanos presentaron tumores de mayor tamaño y con mayores tasas de mitosis.

En Colombia no existe información que caracterice a las pacientes con TP. Por lo que se describen las características y el tratamiento de los pacientes con TP clínicos y patológicos en un Centro Integral del Cáncer de Colombia.

Materiales y Métodos

Los casos fueron capturados del Registro de Cáncer de Mama Institucional del Instituto de Cancerología (IDC) -Clínica Las Américas en Medellín, durante el período 2002-2012, fueron identificados 81 pacientes con diagnóstico histológico TP. Los criterios de inclusión fueron: pacientes mayores de 18 años, informe patológico de TP, atendidos en el IDC. Los pacientes con diagnóstico final de fibroadenoma, TP asociado in situ o carcinoma infiltrante, y los pacientes menores de 18 años fueron excluidos del presente estudio.

Se revisaron las historias clínicas de los pacientes. Las variables demográficas, como la edad, tamaño y grado histológico se registraron en una base de datos. Características clínicas y patológicas, tratamientos realizados, y la fecha de recurrencia también se registraron.

Todas las placas histológicas fueron re-examinadas por el grupo de patólogos de mama en el Servicio de Anatomía Patológica de la institución y se clasificaron como benignos, borderline, o malignos, de acuerdo con los criterios propuestos por Azzopardi y Salvadori y adoptados por la OMS 2. Estos criterios son: margen del tumor (definido o infiltrante), celularidad estromal (leve o grave), sobre crecimiento estromal (ausente, leve, grave), la necrosis tumoral (presente o ausente), atipia celular (ausente, leve, grave), y el número de campos mitóticos por cada diez campos en alto poder 2 (Figs. 1, 2 y 3).

Los datos fueron analizados utilizando el software Stata V12(r), se realizaron análisis estadísticos principalmente medidas de tendencia central, análisis bivariado y curvas de supervivencia según el tipo histológico.

Figura 1.

Paciente de 35 años de edad con Tumor phyllodes maligno. Presentación inicial,. peso: 3,250 g. Recibió cirugía radical y radioterapia. Fallece luego de 32 meses de enfermedad metastásica.

1657-9534-cm-46-03-00104-gf01.jpg

Figura 2.

Análisis macroscópico Tumor Phyllodes maligno corresponde al caso descrito en la foto anterior. Mide 85 x 58 mm en el análisis macroscópico consistencia de color rojo o gris "carnoso" con áreas fibrogelatinosas, hemorrágicas y áreas necróticas con protrusiones en patrón de hoja en las áreas quísticas.

1657-9534-cm-46-03-00104-gf02.jpg

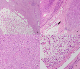
Figura 3.

Tumor phyllodes maligno . Tinción H & E. x25, micrografía bajo aumento muestra componente fibroepitelial de la lesión (A)x4 borde infiltrante , dada por la presencia de un foco tumoral que infiltra más allá de la grasa y cápsula del tumor (B)x20 alta celularidad del componente estromal con la presencia de mitosis (C)x20 presencia de liposarcoma como componente heterólogo (D).

1657-9534-cm-46-03-00104-gf03.jpg

Resultados

Durante el período de estudio, en el IDC un total de 81 pacientes con diagnóstico TP fueron diagnosticados. De los cuales 77 casos fueron incluidos. Cuatro casos fueron excluidos porque no cumplían con los criterios de inclusión, tres de ellos, presentaron componentes ductales y el otro por ser un menor de 18 años.

La mayoría de los casos fueron provenientes del departamento de Antioquia (97.5%, n= 75). La edad media de los pacientes fue de 47.2 años (DE: 12.4). De acuerdo con el análisis histológico, 35.0% (n= 27) de los casos resultaron ser TP benignos, 31.2% (n= 24) TP borderline, y 33.8% (n= 26) PT maligno. El 60,5% (n= 46) de los tumores midió más de 5 cm en el momento del diagnóstico; la media de tamaño para los TP benignos fue de 19.4 mm (DE: 32.4, rango= 1-120 mm), 39.1 mm para el borderline (DE: 35.2, rango = 2.5-180.0), y 45.5 mm para el maligno (DE: 48.6, rango= 2-180). En cuanto al número de mitosis, 27 casos (36.5%) presentaron de 0-4 mitosis, 25 casos (33.8%) presentaron 5-10 mitosis, y 22 casos (29.8%) presentaron más de 10 mitosis. Sólo tres de los casos estudiados (3.9%), presentó elementos heterólogos en el momento de la evaluación patológica definitiva.

Todos los casos fueron manejado quirúrgicamente; 50.7% (n= 39) con cirugía conservadora y el resto con cirugía radical, en el 9.1% de los casos (n= 7), se realizaron procedimientos de disección axilar (vaciamiento axilar ) por sospecha de componente infiltrante. En todos los casos, el vaciamiento axilar fue negativo.

De los 38 pacientes sometidos a la mastectomía, el 52.6% tenían reconstrucción mamaria (inmediata o diferida); 13.0% de los casos tenía algún tipo de complicación, siendo la necrosis del colgajo la más frecuente (7.8%), sangrado o hematoma en dos casos, e infección de sitio quirúrgico en dos casos (2.6%) (Tabla 1).

Tabla 1. Características de los tumores filoides en el Instituto de Cancerología.
Característica Benigna* Borderline* Maligno* valor p
número de muestra 26 24 27
Edad (años) 43 49 50 0.071
Lateralidad
Derecha 13 (50) 7 (29) 12 (44)
Izquierda 13 (50) 17 (71) 15 (56) 0.305
Tratamiento quirúrgico
Mastectomía 4 (15) 10 (42) 24 (89)
cirugía conservadora 22 (85) 14 (58) 3 (11)
Características del tumor
Tamaño (cm) 2.1 4.2 4.5
± ds 3.3 5.1 5.0 0.132
Mitosis
0-4 22 (84) 4 (17) 1 (4)
5-10 2 (8) 17 (71) 6 (22)
>10 1 (4) 1 (4) 20 (74)
No disponible 1 (4) 2 (8)
Margenes
Positivo 2 (8) 1 (4) 5 (8)
Negativo 24 (92) 22 (92) 22 (92)
No disponible - 1 (4) - 0.265
Radioterapia
Si - 6 (25) 17 (63)
No - 18 (75) 10 (37)
*n(%)


Recibieron radioterapia 29.9% (n= 23) de los pacientes. De estos casos, seis pacientes tenían TP borderline (n= 6.0%) y 16 pacientes tenían TP maligno (73.9%). Ninguno de los pacientes recibió quimioterapia sistémica adyuvante. El 7.8% de los pacientes (n= 6), presentó progresión de la enfermedad, dos de ellos con recidiva (recaída) local y los cuatro casos restantes con progresión sistémica. El pulmón es el sitio más frecuente de progresión (3 casos). Un paciente presentó progresión del tumor al sistema nervioso central con documentación histológica. No se presentó progresión hepática en ninguno de los casos. Dos pacientes (2.5%) recibieron quimioterapia sistémica luego de su progresión metastásica con esquemas basados en doxorrubicina y Dacarbacin.

Un paciente con diagnóstico histológico inicial de PT benigna, con un tumor de 8 cm de (diámetro), presento dos recaídas locales, ambas progresiones como PT borderline. Fue manejada con resección local en su primera recaída, y luego mastectomía con reconstrucción para la segunda. Posteriormente en su segunda recaída recibió radioterapia. De los seis pacientes (16.7%) que presentaron recidiva local regional. Un caso fue manejado inicialmente con cirugía conservadora y los cinco pacientes restantes con cirugía radical.

De los 20 pacientes que se sometieron a la reconstrucción mamaria, dos de ellos presentaron recidiva tumoral y los restantes 18 estaban sanos en el momento del último control.

La mediana de seguimiento fue de 22.5 meses (IQR= 10.5-60.0). La supervivencia libre de enfermedad (DFS) para el grupo completo de los pacientes fue de 85.8% (IC 95%: 70.9-93.4) y la tasa de supervivencia global (SG) fue de 94.5% (IC 95%: 73.7-95.0). La pérdida de seguimiento fue del 7.8% (6 casos).

La supervivencia global en meses entre el diagnóstico y el último seguimiento en el grupo de TP borderline fue del 83.0% (IC 95%: 48.2-95.5) y de TP maligno fue del 80.0% (IC 95%: 48.1-93.1). La supervivencia libre de enfermedad en meses entre el diagnóstico y el último seguimiento en el borderline fue de 83.0% (IC 95%: 48.2-95.6) y el TP maligno fue de 80.0% (IC 95%: 48.8-93.3). La supervivencia global y libre de enfermedad se muestran en las Figuras 4 y 5.

Figura 4.

Supervivencia global tipo histológico.

1657-9534-cm-46-03-00104-gf04.jpg

Figura 5.

Supervivencia libre de enfermedad según el tipo histológico.

1657-9534-cm-46-03-00104-gf05.jpg

Discusión

El presente estudio con 77 casos, es una de las mayores series de TP reportada en América Latina 5-8, con una supervivencia global del 94.5%, que es similar a la reportada en otras series en la literatura mundial 9; estos datos de supervivencia no se vieron afectados a pesar del gran tamaño del tumor en nuestros pacientes al momento de recibir manejo oncológico (60.5% de los pacientes tenían tumores de más de 5 cm); sin embargo, la tasa de cirugía radical en nuestras cohortes fueron mayores que los reportados en otras series 10-12.

Dada la poca frecuencia de este tipo de tumor, los datos epidemiológicos son escasos. Berstein et al. 13, en la ciudad de Los Angeles durante un período de 17 años, determinaron la incidencia media anual de 2.1 casos x 106 mujeres; Este estudio informó más incidencia en las mujeres blancas latinas en comparación con no latinas blancas, asiáticas, y negras.

El Tumor Phyllodes de la mama tiene una amplia gama de comportamientos biológicos, desde variantes con comportamiento benigno a variantes con la capacidad de generar metástasis a distancia, incluyendo la capacidad de des-diferenciación sarcomatosa de algunos tumores y la ausencia de componente epitelial 10,14. Dada la falta de uniformidad de la nomenclatura, la OMS recomendó en 1982 que estas lesiones deben denominarse como TP, término que ha sido ampliamente aceptado 2,15.

El tratamiento recomendado para estos tumores es la resección quirúrgica con márgenes libres de tumor de un centímetro o mayor. Siempre y cuando esta condición se cumpla, la cirugía conservadora es el tratamiento quirúrgico preferido. Se recomienda la mastectomía simple, si los márgenes negativos no se puede garantizar a través de la cirugía conservadora. En nuestra serie, el 88.1% de los tumores midieron más de 3 cm, por lo que el 49.3% (n= 38) de los casos se sometieron a la mastectomía. En la base de datos de Vigilancia (SEER) en los Estados Unidos, a 8 de 498 casos de TP presentaron compromiso axilar1. En nuestra serie, ninguno de los casos se documentó compromiso tumoral axilar. La terapia adyuvante con radioterapia, quimioterapia, o ambas cosas, no ha jugado un papel claro y definido en el tratamiento de TP, existen resultados contradictorios en la literatura 11,16,17. En nuestra institución, como una política de grupo, la Quimioterapia sistémica no es ofrecida en el TP y se recomienda tratamiento con radioterapia en pacientes con TP maligno o con lesiones borderline mayores de 5 cm.

La cirugía más eficaz para TP es la resección local amplia con un margen quirúrgico mayor de un centímetro, el cual es mucho mayor que el recomendado para carcinoma infiltrante y en las lesiones de mama ductal in situ 3. Por desgracia, la resección local, sin atención a los márgenes se realiza con frecuencia, sobre todo debido al hecho de que estos casos son sub-diagnosticados como fibroadenomas de manera pre quirúrgica 12,14; algunos de ellos alcanzando grandes tamaños (Fig. 1) que requieren mastectomías para lograr un adecuado control oncológico, en el 49.3% de nuestros pacientes esta fue la conducta, un porcentaje que consideramos alto en comparación con otras series mundiales, como en la de Spitalieri et al., que fue del 20% 9.

Las tasas de recaída son inaceptablemente altos después de la resección local o enucleación de la lesión sin margen adecuado. Varios informes indican que la resección local amplia genera tasas de recaídas locales del 8% para PT benignos y 21 a 36% para los tumores borderline y malignos 9,10. En nuestra serie de casos, las recaídas locales fueron 7.8%, lo cual es menor a las series publicadas. En una serie de casos retrospectiva de 48 mujeres con PT maligno y promedio de nueve años de seguimiento, la tasa de recurrencia fue del 60% para los tratados con resección local comparada con 28% para los tratados con resección local y márgenes adecuados (más de un centímetro). La recidiva local y la supervivencia específica asociada con el cáncer, está relacionada con el tamaño del tumor y los márgenes de resección 18.

No hay evidencia publicada en la literatura que evalúe el riesgo de la reconstrucción mamaria inmediata en pacientes con TP en términos de recaída y supervivencia global. En nuestra serie, 20 casos fueron sometidos a reconstrucción; 11 casos con colgajo muscular de dorsal ancho con prótesis, cinco casos con reconstrucción con colgajo musculo-abdominal (TRAM), y cuatro casos con colgajo muscular de pectoral. No fue posible demostrar que los pacientes con reconstrucción mamaria tuvieran un pronóstico oncológico peor que el grupo de no reconstrucción en términos de supervivencia global y libre de enfermedad.

En relación con el uso de la radioterapia en el PT, una gran serie retrospectiva de pacientes con PT maligno tratada únicamente con resección quirúrgica reveló tasas de control a cinco años subóptimas (79% en 169 pacientes tratados con resección local vs. 91% en 207 pacientes tratados con mastectomía) 19. En esta serie, los autores concluyeron que los pacientes con TP maligno mayores a dos centímetros de diámetro tratados con resección local única, la radioterapia adyuvante es fuertemente recomendada como opción de tratamiento. Una limitación importante de este estudio es la falta de información sobre el estado de los márgenes.

En otra serie europea de 443 mujeres publicados por Balkacemi et al. 11, los pacientes tratados con TP, la radioterapia se asoció con tasas de control local a diez años entre el 59% (sin radioterapia) y 86% (con radioterapia) para el TP borderline y maligno.

En conjunto, estos resultados indican que la radioterapia parece ser eficaz en la reducción de las tasas de recurrencia después de una cirugía conservadora para TP borderline y maligno. Algunos grupos argumentan que la radioterapia adyuvante es apropiada cuando no es posible obtener un margen mayor o igual a un centímetro.

Nuestro centro no tiene una política uniforme para usar la radioterapia en todos los TP borderline o malignos; Sin embargo, de acuerdo con los resultados del presente estudio, la propuesta es ofrecer a los TP borderline con cirugía conservadora y/o tumores de más de 5 cm y a los TP maligno la opción de radioterapia.

Es importante mencionar que algunos tumores, debido a su gran tamaño, a pesar de ser manejado con mastectomía, no son capaces de alcanzar margen quirúrgico de un centímetro por lo que la radioterapia debe ser considerada adecuada también para estos casos 11. El caso del TP benigno que recibió radioterapia, se refiere a un caso que presentó dos recidivas tumorales y que fue propuesto por la junta médica para considerar el tumor como comportamiento TP borderline, ofreciendo, a continuación, la opción de la radioterapia.

El beneficio de la quimioterapia adyuvante es controversial. No hay estudios prospectivos aleatorizados de quimioterapia adyuvante en este tipo de tumor. Un estudio observacional en México 16 incluyó 28 pacientes con TP maligno tratados en un período de 10 años (1993-2003) con doxorrubicina y Dacarbacin encontrando que no hubo diferencia en supervivencia libre de enfermedad en las pacientes tratadas con quimioterapia en comparación con el grupo de observación. Después de la resección quirúrgica, el tratamiento se basa en la elección del paciente. No hubo diferencia en recidiva local o diferencia en supervivencia global en estos dos grupos de pacientes. Sin embargo, este es un estudio pequeño, retrospectivo no controlado el cual no utilizó ifosfamida, que es un medicamento superior a Dacarbacin y que es actualmente el estándar de tratamiento en otros sarcomas. Actualmente, las guías de manejo internacional no recomiendan el uso de la quimioterapia de rutina para este grupo de pacientes y deben ser considerados para los pacientes con alto riesgo de recaída (alto grado, tumores de gran tamaño, pacientes jóvenes) 20. Nuestro centro oncológico considera la quimioterapia sistémica como de pobre beneficio y está reservado para manejo en la enfermedad metastásica.

Conclusión

Creemos que los buenos resultados obtenidos en nuestro estudio en supervivencia global y libre de enfermedad, se deben a la alta tasa de cirugía radical vs cirugía conservadora en el grupo de pacientes con TP malignos (89% vs 11%), dejando la radioterapia sólo en casos donde los márgenes quirúrgicos no puedan ser adecuados (mayor de un centímetro) en nuestra experiencia la reconstrucción mamaria no es una contraindicación para este grupo de tumores.

No fue posible identificar diferencias de pronóstico para los tumores borderline y malignos según la clasificación de la OMS; por lo tanto, se necesita urgentemente desarrollar algunos estudios moleculares en este grupo de tumores, que nos permitan comprender mejor el comportamiento biológico y la capacidad de presentar metástasis en este grupo de pacientes.

Referencias

1 

Macdonald OK, Lee CM, Tward JD, Chappel CD, Gaffney DK. Malignant phyllodes tumor of the female breast: association of primary therapy with cause-specific survival from the Surveillance, Epidemiology, and End Results (SEER) program. Cancer. 2006;107(9):2127–2133

2 

Tavassoli F. Pathology and genetics. No. 4IARC; 2003

3 

Salvadori B, Cusumano F, Del Bo R, Delledonne V, Grassi M, Rovini D, et al. Surgical treatment of phyllodes tumors of the breast. Cancer. 1989;63(12):2532–2536

4 

Reinfuss M, Mitus J, Duda K, Stelmach A, Rys J, Smolak K. The treatment and prognosis of patients with phyllodes tumor of the breast: an analysis of 170 cases. Cancer. 1996;77(5):910–916

5 

Ibáñez RG, Marambio GA, Jans BJ, Gamboa GJ, Adonis PP, Trewhela NR, et al. Tumor filoides de la mama. Rev Chil Cir. 2010;62(2):119–124

6 

Barreto AU. Tumor filodes: diagnóstico y tratamiento Chile. Rev Chil Obstet Ginecol. 1995;60(1):17–22

7 

Rodriguez J, Gomez A. Tumor filodes de la mama: revisión de 55 casos en el Hospital Oncológico Padre Machado. Rev Venez Oncol. 2003;15(1):28–37

8 

Henriques A, Fernando AM, Mauro A, Zerbini S, Walder Y, JoäBôsco Batista D, et al. Tumor filodes: casuística da Unidade de Mastologia do H.B.D.F. Rev Bras Mastologia. 1998;8(1):13–20

9 

Spitaleri G, Toesca A, Botteri E, Bottiglieri L, Rotmens Z. Breast phyllodes tumor: A review of literature and a single center retrospective series analysis. Crit Rev Oncol Hematol. –2013;88(2):427–436

10 

Barrio A, Clark B, Goldberg J, Hoque L. Clinicopathologic features and long-term outcomes of 293 phyllodes tumors of the breast. Ann Surg Oncol. 2007;14(10):2961–2970

11 

Belkacémi Y, Bousquet G, Marsiglia H, Ray-Coquard I, Magné N, Malard Y, et al. Phyllodes tumor of the breast. Int J Radiat Oncol Biol Phys. 2008;70(2):492–500

12 

Jacklin RK, Ridgway PF, Ziprin P, Healy V, Hadjiminas D, Darzi A. Optimising preoperative diagnosis in phyllodes tumour of the breast. J Clin Path. 2006;59(5):454–459

13 

Bernstein L, Deapen D, Ross RK. The descriptive epidemiology of malignant cystosarcoma phyllodes tumors of the breast. Cancer. 1993;71(10):3020–3024

14 

Lee AHS. Recent developments in the histological diagnosis of spindle cell carcinoma, fibromatosis and phyllodes tumour of the breast. Histopathology. 2008;52(1):45–57

15 

Guillot E, Couturaud B, Reyal F, Curnier A, Ravinet J, Laé M, et al. Management of phyllodes breast tumors. Breast J. 2011;17(2):129–137

16 

Morales-Vásquez F, Gonzalez-Angulo AM, Broglio K, Lopez-Basave HN, Gallardo D, Hortobagyi GN, et al. Adjuvant chemotherapy with doxorubicin and dacarbazine has no effect in recurrence-free survival of malignant phyllodes tumors of the breast. Breast J. 2007;13(6):551–556

17 

Hawkins RE, Schofield JB, Wiltshaw E, Fisher C, McKinna A. Ifosfamide is an active drug for chemotherapy of metastatic cystosarcoma phyllodes. Cancer. 1992;69(9):2271–2275

18 

Esposito NN, Mohan D, Brufsky A, Lin Y, Kapali M, Dabbs DJ. Phyllodes Tumor: a clinicopathologic and immunohistochemical study of 30 cases. Arch Pathol Lab Med. 2006;130(10):1516–1521

19 

Barth RJ Jr, Wells WA, Mitchell SE, Cole BF. A prospective, multi-institutional study of adjuvant radiotherapy after resection of malignant phyllodes tumors. Ann Surg Oncol. 2009;16(8):2288–2294

20 

Khosravi-Shahi P. Management of non-metastatic phyllodes tumors of the breast: review of the literature. Surg Oncol. 2011;20(4):e143–e148