Histoplasmosis laríngea:

report first case in Colombia

Translated title (en): Histoplasmosis laryngeal:
Translated Subtitle: reporte de primer caso en Colombia


Abstract

Histoplasmosis es una infección fúngica que es frecuente en Colombia. La histoplasmosis laríngea por lo general se presenta en pacientes inmunocomprometidos por la difusión del hongo desde los pulmones a otros órganos. La enfermedad laríngea aislada (primaria) es rara. Se presenta el caso de un paciente con antecedente de inmunosupresión por trasplante renal, con histoplasmosis laríngea primaria que produjo inflamación granulomatosa supraglótica, tratado con Anfotericina B e Itraconazol, con resolución completa de las lesiones laríngeas.

Resumen

Laryngeal histoplasmosis is a fungal infection that is frequent in Colombia. Laryngeal histoplasmosis usually occurs in immunocompromised patients through the dissemination of the fungus from the lungs to other organs. Histoplasmosis isolated laryngeal (primary) is rare. If a patient presents with a history of immunosuppression by renal transplant, primary laryngeal histoplasmosis with supraglottic granulomatous inflammation that was treated with amphotericin B and Itraconazole, with complete resolution of laryngeal lesions.


Introducción

La histoplasmosis laríngea es una micosis que es frecuente en Colombia, especialmente en el departamento de Antioquia donde se han reportado hasta el 2008 el mayor número de casos, seguido del Valle y Cundinamarca. Se han reportado casos en 20 de los 32 departamentos 1.

La histoplasmosis laríngea por lo general se presenta en pacientes inmunocomprometidos por la difusión del hongo desde los pulmones a otros órganos. Se presenta el caso de un paciente con inmunosupresion por trasplante renal, con histoplasmosis laríngea primaria que produjo inflamación granulomatosa supraglotica, tratado con anfotericina e itraconazol, con resolución completa de las lesiones laríngeas. La histoplasmosis laríngea por lo general se presenta en pacientes inmunocomprometidos por la difusión del hongo desde los pulmones a otros órganos. La histoplasmosis laríngea aislada (primaria) es por lo tanto rara.

Reporte de caso

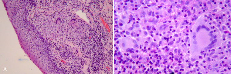
Paciente masculino de 7 años de edad, procedente de Riosucio (Caldas, Colombia), que consultó con cuadro clínico de tres semanas de evolución de diarrea, odinofagia, hiporexia, cefalea, fiebre ocasional, estridor al dormir, osteomialgias y decaimiento. Presenta antecedente de trasplante renal hace tres años, oligomeganefronia congénita bilateral con insuficiencia renal crónica secundaria. Recibía medicamentos como Tacrolimus, Micofenolato y Diltiazem. Al examen físico se observaron amígdalas eritematosas con leve hipertrofia, estridor y adenopatía cervical. Los paraclínicos reportaron un hemograma con leucocitos y neutrofilia, Proteína C Reactiva: 1.6, Coproscópico: normal, Urocultivo negativo, prueba cutánea PPD negativo, pruebas para Virus de Epstein Bar, Citomegalovirus, Aspergillus galactomannan y Poliomavirus BK negativas. En la Radiografía de tórax se halló congestión parahiliar sin consolidaciones y la ultrasonografía abdominal mostró nefropatía crónica con injerto renal de características normales, sin otra alteración. Se realizó fibronasolaringoscopia y se encontró edema de aspecto granulomatoso de mucosa supraglótica que deforma la epiglotis y obstruye parcialmente la vía aérea (Fig. 1). Se realizó traqueotomía y posteriormente biopsia de la masa laríngea hallándose inflamación granulomatosa crónica sin necrosis (Fig. 2). El estudio de Inmunohistoquímica descarta una lesión linfoepitelial. Además fueron realizadas coloraciones para hongos y micobacterias que resultaron negativas (BK, PAS, Gomori). Ante la sospecha de una infección micótica se solicitaron títulos para coccidioidomicosis e inmunodifusión para Histoplasma, resultando éste último positivo (banda M). Se hizo diagnóstico de histoplasmosis laríngea primaria (descartando foco pulmonar). El Urocultivo y hemocultivos para bacterias y hongos fueron negativos a los 42 días de incubación. Se inició Anfotericina B a 0.8 mg/k/día, y a los 10 días se cambió a Itraconazol oral 6 mg/kg cada 12 horas por signos de nefrotoxicidad, para continuar por 12 meses en forma ambulatoria.

Figura 1.

Fibronasolaringoscopia. A. Edema granulomatoso supraglótico y deformidad de epiglotis, flecha negra: epiglotis. B Control a los 46 días y C: 8 meses de iniciado tratamiento antimicótico.

1657-9534-cm-45-04-00186-gf01.jpg

Figura 2.

Biopsia de epiglotis, coloración HE. A: Lesión tapizada por epitelio respiratorio con abundante infiltrado inflamatorio mixto, histiocitos, plasmocitos, polimorfonucleares, y células gigantes multinucleadas. Sin necrosis o vasculitis (×100). B: infiltrado mixto y células gigantes multinucleadas (×400).

1657-9534-cm-45-04-00186-gf02.jpg

En la fibronasolaringoscopia de control a los 46 días de iniciada la anfotericina B se encontró disminución del edema granulomatoso y mínima deformidad de la epiglotis. Un control más tardío fue realizado a los 8 meses observando resolución total de las lesiones en laringe (Fig. 1).

Discusión

El agente causal de la histoplasmosis es el Histoplasma capsulatum capsulatum o Histoplasma capsulatum duboisii, hongo dimórfico, térmico e intracelular. Se aísla de la naturaleza en zonas templadas y tropicales húmedas, cuyos suelos son ácidos, ricos en nitrógeno. Este hongo se puede encontrar en el suelo contaminado por excrementos de murciélagos o aves como cuevas o gallineros. La manipulación de material contaminado hace que las pequeñas esporas de Histoplasma capsulatum se hagan volátiles para ser fácilmente transportadas por corrientes de viento a grandes distancias. La infección humana suele originarse por inhalación de micelios, que son la forma infectante natural, los cuales son capturados por los macrófagos pulmonares, en los que germinan dando blastosporas. En individuos inmunocompetentes, ocurre una inflamación en el sitio de la infección, resultando en formación de un granuloma caseoso o no caseoso. Generalmente el microorganismo es destruido en mayor o menor plazo, y la infección es resuelta o asintomática, pero en casos de inmunidad celular deficiente, se liberan del fagolisosoma pasando al citoplasma, donde se multiplican libremente, y la infección se difunde a otros sistemas del organismo. La infección estimula la multiplicación de los macrófagos infectados 2,3. Los factores que influyen en la progresión de la infección primaria son el número de organismos inhalado, edades extremas del paciente, inmunodepresión y desnutrición 4.

El espectro clínico de la enfermedad es variable y puede manifestarse como una enfermedad multisistémica grave que afecta al hueso, hígado, bazo, pulmones, tracto gastrointestinal, piel, glándulas suprarrenales, laringe u otros sitios extrapulmonares. Generalmente se presenta como un cuadro de neumonía aguda, cavidad pulmonar crónica, nódulos pulmonares, mediastinitis granulomatosa y fibrosis mediastinal 2,5.

El cuadro clínico de histoplasmosis laríngea puede presentarse con disfonía, odinofagia, disfagia, disnea, fatiga, pérdida de peso y malestar general. También puede observarse en algunas ocasiones lesiones leucoplásicas y masas exofíticas laríngeas y linfoadenopatías cervicales 3,4,6,7.

El diagnóstico diferencial incluye otras enfermedades granulomatosas laríngeas como tuberculosis, paracoccidioidomicosis, leishmaniasis, blastomicosis, lepra, sífilis, o actinomicosis. Además, debe diferenciarse de otras condiciones como son: reflujo gastroesofágico, policondritis, enfermedad de Wegener, sarcoidosis, amiloidosis, artritis reumatoide, lupus, carcinoma, linfoma o papilomatosis 2,5.

El cultivo y la biopsia del Histoplasma puede hacerse a partir de frotis de úlceras en la cavidad oral, muestras de esputo, secreción broncoalveolar, orina y medula ósea, o a partir de biopsias de masas orales, laríngeas u otro órgano sospechoso de infección. Los organismos pueden ser detectados en el medio de cultivo de Sabourauds y puede tardar en crecer hasta 6 semanas. El cultivo en sangre debe realizarse en todos los casos sospechosos. Utilizando la técnica de lisis por centrifugación, el cultivo es positivo en el 65% de los casos 4,7.

En la biopsia puede observarse con tinciones de hematoxilina-eosina un tejido granulomatoso, necrosis, infiltración de células gigantes, linfocitos, células plasmáticas y gran número de macrófagos. Se deben utilizar tinciones especiales para identificar macrófagos que contienen hifas, tales como coloración de metenamina-plata de Gomori, coloración de ácido periódico de Schiff (PAS), coloración de Gridley, tintes de plata (Grocott) 4,7.

La detección de antígenos en orina y suero debe realizarse en todos los pacientes con sospecha de histoplasmosis diseminada con el fin de lograr la máxima sensibilidad y diagnóstico rápido. El inmunoensayo enzimático puede detectar el antígeno de Histoplasma en la orina en aproximadamente 75% de pacientes inmunocompetentes y 95% de los pacientes inmunocomprometidos. El antígeno puede ser detectado en el suero cerca del 100% de los casos. Una prueba de antígeno negativo no descarta la histoplasmosis diseminada. El antígeno también se puede detectar en el líquido cefalorraquídeo (LCR) en la mayoría de los pacientes con afectación del sistema nervioso central y en las muestras respiratorias obtenidas mediante broncoscopia. Los falsos positivos se han observado en otras infecciones micóticas. Las pruebas de detección de antígenos son útiles pero sólo si son positivas, ya que su sensibilidad es pobre.

Las pruebas serológicas para anticuerpos anti-Histoplasma utilizando inmunodifusión (serología) y métodos de fijación del complemento son positivos en alrededor del 70% de los inmunodeprimidos y el 90% de los pacientes inmunocompetentes con infección diseminada. Las pruebas de anticuerpos pueden ser falsamente negativas en pacientes inmunodeprimidos. En los casos agudos, los anticuerpos suelen aparecer durante el segundo mes después de la exposición. Los anticuerpos pueden seguir siendo positivos durante varios años y no necesariamente indican actividad de la enfermedad. En la prueba de inmunodifusión, los resultados se informan como M o H precipitinas o bandas. La mayoría de los pacientes desarrollan una banda de M, y la banda de precipitación H es detectable en menos del 20% de los casos. La banda H se observa con mayor frecuencia en los pacientes con infección diseminada, histoplasmosis pulmonar cavitaria crónica o histoplasmosis pulmonar aguda muy grave. La banda M se vuelve positiva antes que la banda H y persiste más tiempo 3,8.

La prueba de fijación del complemento utilizando antígenos de la levadura y formas miceliales de H. capsulatum es ligeramente más sensible que la prueba de inmunodifusión. Sin embargo, la prueba de inmunodifusión tiene mayor especificidad que la prueba de fijación del complemento. Los resultados positivos con la prueba de fijación del complemento pueden deberse a una respuesta persistente de anticuerpos a partir de un episodio previo de la histoplasmosis, infección por otros hongos, u otras enfermedades granulomatosas 5.

El papel de la reacción en cadena de la polimerasa (PCR) para el diagnóstico de la histoplasmosis es incierto. La prueba cutánea con histoplasmina en zonas endémicas es de poca utilidad debido a su alto número de falsos positivos y su uso se reduce para pacientes inmunocomprometidos 3,8.

Se debe excluir la afectación de otras partes del tracto aerodigestivo y pulmones. Ante una infección pulmonar en la radiografía de tórax se observan múltiples calcificaciones.

Si el paciente requiere hospitalización, no mejora con el tratamiento con azoles, es inmunosuprimido o muestra intolerancia a los azoles, el tratamiento de elección es anfotericina B endovenosa a 0.7-1.0 mg/kg/día, de 2-4 meses con un total de dosis a administrar de 35 mg/kg. Sin embargo, los estudios han demostrado que otros antifúngicos orales son tan eficaces como la anfotericina B en pacientes con insuficiencia renal e histoplasmosis leve a moderada. El fluconazol oral se administra en una dosis de 200-400 mg una vez al día. El problema con el fluconazol es el desarrollo de resistencia. Por lo tanto, este agente debe ser reservado para el tratamiento de pacientes que no puede tomar itraconazol. El ketoconazol oral se administra de 200-400 mg una vez al día, pero provoca más efectos secundarios 3,9. El Itraconazol se administra a 200 mg dos veces al día por un año en enfermedad leve a moderada, como se sugiere en las guías americanas (American society of infectious diseases), con una buena tasa de éxito terapéutico. La resección quirúrgica de masas obstructivas puede ser considerada y es generalmente segura para los pacientes cuyos síntomas no mejoran después de uno a tres meses de terapia antifúngica 5,10.

Conclusiones

La histoplasmosis laríngea es un fenómeno poco común, por lo tanto es frecuente que se haga un mal diagnóstico provocando un resultado devastador para el paciente. Es probable que una de las razones de los pocos casos reportados se deba a la dificultad en el diagnóstico. El otorrinolaringólogo debe tener presente la existencia de histoplasmosis laríngea y considerarla como uno de los diagnósticos diferenciales cuando un paciente presenta signos de inflamación granulomatosa o masas laríngeas, para realizar pruebas diagnósticas específicas para hongos y ofrecer un tratamiento óptimo y oportuno, evitando intervenciones agresivas innecesarias.

References

1 

Arango M, Castañeda E, Agudelo CI, De Bedout C, Agudelo CA, Tobón A, et al. Colombian Histoplasmosis Study Group. Histoplasmosis: results of the Colombian national survey, 1992-2008. Biomedica. 2011;31(3):344–356

2 

Solari R, Corti M, Cangelosi D, Escudero M, Negroni R, Saccheri C, et al. Disseminated histoplasmosis with lesions restricted to the larynx in a patient with AIDS. Report of a case and review of the literature. Rev Iberoam Micol. 2007;24(2):164–166

3 

Teoh JW, Hassan F, Mohamad Yunus MR. Laryngeal histoplasmosis: an occupational hazard. Singapore Med J. 2013;54(10):e208–e210

4 

Pochini F Sobrinho, Della Negra M, Queiroz W, Ribeiro UJ, Bittencourt S, Klautau GB. Histoplasmosis of the larynx. Braz J Otorhinolaryngol. 2007;73(6):857–861

5 

Bouldouyre MA, Roux D, Lacroix C, Meignin V, Molina JM. Histoplasma capsulatum granulomatous laryngitidis. Med Mal Infect. 2010;40(10):602–604

6 

Wolf J, Blumberg HM, Leonard MK. Laryngeal histoplasmosis. Am J Med Sci. 2004;327(3):160–162

7 

Larsen CG, Militsakh O, Fang F, Tawfik O, Wallace DI. Histoplasmosis presenting as upper airway obstruction. Otolaryngol Head Neck Surg. 2005;132(3):514–516

8 

Ferrari TC, Soares JM, Salles JM, Handam JS, Azevedo RC, Xavier MA, et al. Laryngeal histoplasmosis in an immunocompetent patient from a non-endemic region: case report. Mycoses. 2009;52(6):539–540

9 

Hage CA, Ribes JA, Wengenack NL, Baddour LM, Assi M, McKinsey DS, et al. A multicenter evaluation of tests for diagnosis of histoplasmosis. Clin Infect Dis. 2011;53(5):448–454

10 

Sanmani L, Randall CJ, Palfrey J, Rowen D. Hoarseness of voice in an AIDS patient: a rare presenting feature of disseminated histoplasmosis. Int J STD AIDS. 2011;22(2):115–116