Litopedion, diagnóstico diferencial de tumor de ovario.

Informe de un caso

Luis Carlos Hincapié, M.D.1, Hernando Navarro-Newball, M.D2, Jorge Mosquera, M.D.2

 

1. Profesor Auxiliar, Departamento de Obstetricia y Ginecología, Facultad de Salud, Universidad del Valle, Cali, Colombia.

2. Residente, Departamento de Obstetricia y Ginecología, Facultad de Salud, Universidad del Valle, Cali, Colombia.

RESUMEN

El litopedion es una rara consecuencia del embarazo abdominal, donde, por pasar asintomático y escaparse al diagnóstico médico, el feto y/o sus membranas entran en un proceso de petrificación, ocurren en 0.0045% de todas las gestaciones y se puede confundir con un tumor de ovario. Se informa un caso de una paciente de 52 años a quien se le descubrió un litopedion de término, con medidas óseas en percentiles altos, retenido en el abdomen durante 25 años, además de un tumor de células de Sertoli-Leyding en el ovario ipsilateral. Aunque la incidencia del embarazo extrauterino ha ido en aumento, el informe de litopedion es cada vez menos frecuente gracias al descubrimiento precoz de los embarazos abdominales.

 

Palabras claves: Litopedion. Embarazo abdominal retenido.

Embarazo extrauterino.

Colombia Médica 1995; 26: 30-2

 

Dentro de la valoración de las lesiones tumorales pélvicas se debe tener en cuenta un pequeño grupo, correspondiente a una entidad cada vez menos frecuente, el embarazo abdominal retenido o litopedion, término derivado del griego lithos que significa piedra y paidion que significa niño. La primera mención de un litopedion la dio Albucasis (936-1013 dC) y la primera descripción detallada se debe a Spach en 1557. Actualmente se han descrito en la literatura mundial más de 300 casos1.

El embarazo abdominal tiene una incidencia creciente con una mortalidad perinatal de 0.5% a 18% y una mortalidad perinatal de 40% a 95%2,3. De cada 1,000 embarazos ectópicos, 9.2% son abdominales, lo que corresponde a 10 de cada 100,000 nacimientos. La formación de un litopedion ocurre en 0.0045% de las gestaciones2,4-6 generalmente en gestantes mayores de 45 años (63% de los casos) con una retención en abdomen desde 4 hasta 60 años (70% más de 5 años y 40% más de los 20 años) y edades gestacionales de 3 a 6 meses (20% de los casos) y mayor de 7 meses (71%)6-9.

INFORME DE UN CASO

Paciente de 52 años nacida en La Estancia, Nariño y procedente de Cali. Consulta por historia de metrorragia de un año de evolución que se intensificó en los últimos 15 días. Hubo un cuadro de lipotimia el día anterior.

Antecedentes obstétricos. G4 P4 A1, último parto hace 28 años y aborto espontáneo gemelar hace 26 años. Ciclos regulares hasta hace un año; no planifica.

Antecedentes patológicos. Hipertensión arterial crónica controlada con artensol. Al examen ginecológico se encontró lesión tumoral pélvica de 20 x 15 cm que comprometía el hipogastrio y la fosa ilíaca derecha, móvil, no dolorosa, dependiente del anexo derecho; útero en anteverso-flexión, ligeramente aumentado de tamaño; anexo izquierdo normal. En el interrogatorio la paciente refirió que hace 25 años hubo aumento progresivo del tamaño del abdomen asociado con una amenorrea de casi 10 meses; luego la masa detuvo su crecimiento, y permaneció asintomática con ciclos menstruales regulares, por lo cual consultó.

La paciente se hospitalizó con impresión diagnóstica:

En la ecografía pélvica se encontraron imágenes de tumoración sólida irregular, con calcificaciones en su interior independientes del útero, endometrio engrosado de 21 mm con imágenes ecomixtas irregulares (Figura 1). En el legrado-biopsia de endometrio se descubrió una hiperplasia compleja sin atipias. Se inició el estudio complementario para tumor de ovario: rectosigmoidoscopia normal, cistoscopia normal. Durante la urografía excretora, en la placa simple se observó una imagen de 17 x 14 cm que correspondía a calcificaciones de estructuras óseas y membranas fetales, sugestiva de feto calcificado (Figuras 2,3). Se programó para cirugía con diagnóstico de litopedion.

 

Figura 1. Ecografía pélvica. Utero de 10 x 5 cm con endometrio de 21 mm con imágenes ecomixtas irregulares. Tumoración independiente del útero, sólida, irregular con calcificaciones en su interior.

Figura 2, 3. Radiografía anteroposterior y lateral de abdomen.

Imagen de 17 x 14 cm correspondientes a calcificaciones de membranas y estructuras óseas feales sugestivas de litopedion.

 

Durante la cirugía se encontró masa ovoide de paredes irregulares, con adherencias al útero en la cara posterior, epiplón, colon ascendente, uréter, ovario y tuba derecha; el ovario derecho era duro, regular de 3 x 2 cm con un color amarillo azufre; el anexo izquierdo tenía aspecto normal. Se hizo liberación de estructuras, histerectomía abdominal total y salpingooforectomía derecha.

En el estudio patológico se apreció una masa pétrea de 17 x 14 cm y 1,000 g de peso, con membranas fuertemente adheridas a estructuras fetales en proceso de calcificación, correspondientes a un litopedion con biometría de huesos largos en percentiles 95 para 40 semanas (macrosómico) (Figuras 4, 5). En el ovario derecho se encontró un tumor de células de Sertoli-Leyding bien diferenciado (Figura 6).

 

Figura 4. Radiografía ósea del litopedion. Se observan estructuras óseas fetales y tejidos blandos parcialmente calcificados.

Figura 5. Litopedion de término, con medidas óseas en percentiles altos, retenido en abdomen durante 25 años.

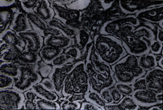
Figura 6. Microscopía de ovario derecho (HE x 25). Estroma ovárico desplazado por acúmulos de tejido maduro con múltiples glándulas tubulares con epitelio cilíndrico simple.

DISCUSION

Existen varias condiciones necesarias para que de un embarazo abdominal se forme un litopedion: el feto debe tener una supervivencia en abdomen por más de 12 semanas, permanecer asintomático en condiciones asépticas y tener un ambiente favorable para la calcificación6,10. Después de la muerte fetal se inicia el proceso de petrificación:

Las pacientes en gestación con cuadros raros de dolor abdominal recurrente o persistente, sin cambios cervicales y muerte fetal, hacen sospechar la presencia de un embarazo abdominal, sobre todo si se asocia con inducción fallida.

La radiografía y la ultrasonografía muestran partes óseas en la cavidad abdominal cerca de la columna materna, así como la resonancia nuclear da el diagnóstico de embarazo abdominal. Si no hay síntomas y escapa al examen médico, puede alcanzar una edad gestacional de término e incluso, como en este caso, el feto puede lograr un desarrollo completo con un peso extrapolado de su biometría o sea mayor de 4,000 g y pasar desapercibido durante 25 años.

Aunque en la actualidad, gracias al desarrollo de la medicina reproductiva la incidencia de embarazo ectópico no ha aumentado, la formación de un litopedion cada vez será más rara.

SUMMARY

The lithopedion is a rare consequence of abdominal pregnancy, which presents no symptoms, and of which no medical diagnosis can be established, leading therefore, to the calcification of the fetus and its membranes. This abnormality during pregnancy occurs with a frequency of 0.0045%, and it can be easly confused with an ovarian tumor. In this paper a case of a 52 year old patient, with a lithopedion at term, with long bones meditions in high percentiles, retained in her abdominal cavity for 25 years along with a Sertoli-Leyding cell tumor in the ipsilateral ovary is reported. Although the frequency of extrauerine pregnancies has incresead, a lithopedion diagnosis is less frequent due to the early detection of abdominal pregnancies.

REFERENCIAS

1. Gemke GR, Bratkouskaia KA, Murkhordou AG, Tabachuk NN. 30 year old lithopedion associated with ovarian cyst and large umbilical hernia. A Kush Ginekol Mosk 1991; 4: 60-1.

2. Martin JM, Sessums JK, Martin RW, et al. Abdominal pregnancy. Curr Concepts Man 1988; 71: 549.

3. Atrash HK, Friede A, Hoguel SR. Abdominal pregnancy in the United States: frequency and maternal mortality. Obstet Gynecol 1987; 69: 33.

4. Grunstein S, Supron H, Stamlec L. A lithopedion simulating an ovarian tumor. Gynaecology 1968; 165: 38-40.

5. Rothschild BM, Rothschild C, Bement LC. Three millennium antiquity of the lithokelyphos variety of lithopedio. Am J Obstet Gynecol 1993; 169: 140-41.

6. Spirtos NM, Elsenkop SM, Mishell DR. Lithokelyphos a case report and literature review. J Reprod Med 1987; 32: 43-6.

7. Naim A. Retained abdominal pregnancy. Aust N Z J Surg 1996; 6: 175.

8. Buchet R. Le tithopedion, rarissime masse pelvique abdominale. J Radiol Electrol Med Nucl 1967; 48: 537.

9. Tien D. Lithopedion: general discussion and case report. Chin Med J 1949; 67: 451.

10. Bustamante JS, Flóres GO, Rubio EJ, Plata PN. Litopedion en embarazo cervical: comunicación de un caso. Ginecol Obstet Mex 1989; 57: 343-45.

11. Deenon HJ, Henderson WD. Ectopic pregnancy, gestaction of eight months-retained 8 years. Am J Surg 1922; 3: 377.

12. Chase LA. Lithopedion. Can Med Assoc J 1968; 99: 226.

13. Shah-Hosseini R, Eurard JR. Lithopedion a case report. J Reprod Med 1987; 32: 131-33.

14. Sfar E, Kchir N, Cheili H, Kharouf M. Une observation rare de grossesse abdominale: le lithopedion. Tunis Med 1993; 71: 283-87.

CONTENIDO | PAGINA PRINCIPAL | NUMEROS EN LINEA