Synthetic dural graft septoplasty in epistaxis from hereditary hemorrhagic telangiectasia
Abstract
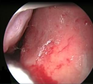
It is an autosomal dominant vascular disorder, which has a variety of clinical manifestations, with epistaxis being one of the most common. Many treatment options exist for epistaxis, but with no consensus on which is the method of choice. We describe the case of a patient with hereditary hemorrhagic telangiectasia (HHT) secondary epistaxis with septoplasty managed with synthetic hard graft, which improved intensity and frequency of bleeding episodes. This technique is a variant of the septodermoplasty described by several authors, but the use of synthetic dura can help in obtaining better results and avoid taking skin grafts from other sites different from the surgical site.
Authors
Downloads
Keywords
- hereditary hemorrhagic telangiectasia
- HHT
- Osler-Weber-Rendu
- arteriovenous malformation
- epistaxis
References
McDonald J, Bayrak-Toydemir P, Pyeritz RE. Hereditary hemorrhagic telangiectasia: an overview of diagnosis, management, and pathogenesis. Genet Med. 2011;13(7):607-16.
Zarrabeitia R. A review on clinical management and pharmacological therapy on hereditary haemorrhagic telangiectasia (HHT). Curr Vasc Pharmacol.2010; 8(4): 473-81.
Trojanowski P, Jargiello T, Trojanowska A, Klatka J. Epistaxis in patients with hereditary hemorrhagic telangiectasia treated with selective arterial embolization. Acta Radiol. 2011;52(8):846-9.
Dheyauldeen S, Abdelnoor M, Bachmann-Harildstad G. The natural history of epistaxis in patients with hereditary hemorrhagic telangiectasia in the Norwegian population: a cross-sectional study. Am J Rhinol Allergy. 2011;25(4):214-8.
Jørgensen G, Lange B, Wanscher JH, Kjeldsen AD. Efficiency of laser treatment in patients with hereditary hemorrhagic telangiectasia. Eur Arch Otorhinolaryngol. 2011;268(12):1765-70.
Joshi H, Woodworth BA, Carney AS. Coblation for epistaxis management in patients with hereditary haemorrhagic telangiectasia: a multicentre case series. J Laryngol Otol. 2011; 16:1-5.
Levine CG, Ross DA, Henderson KJ, Leder SB, White RI Jr. Long-term complications of septal dermoplasty in patients with hereditary hemorrhagictelangiectasia. Otolaryngol Head Neck Surg. 2008; 138(6):721-4.
The copy rights of the articles published in Colombia Médica belong to the Universidad del Valle. The contents of the articles that appear in the Journal are exclusively the responsibility of the authors and do not necessarily reflect the opinions of the Editorial Committee of the Journal. It is allowed to reproduce the material published in Colombia Médica without prior authorization for non-commercial use















