Familial polythelia associated with dental anomalies: a case report
Abstract
Polythelia has been defined as the presence of supernumerary nipples without accessory glandular tissue. Usually, these growths follow imaginary mammary lines running from the armpits to the groin.
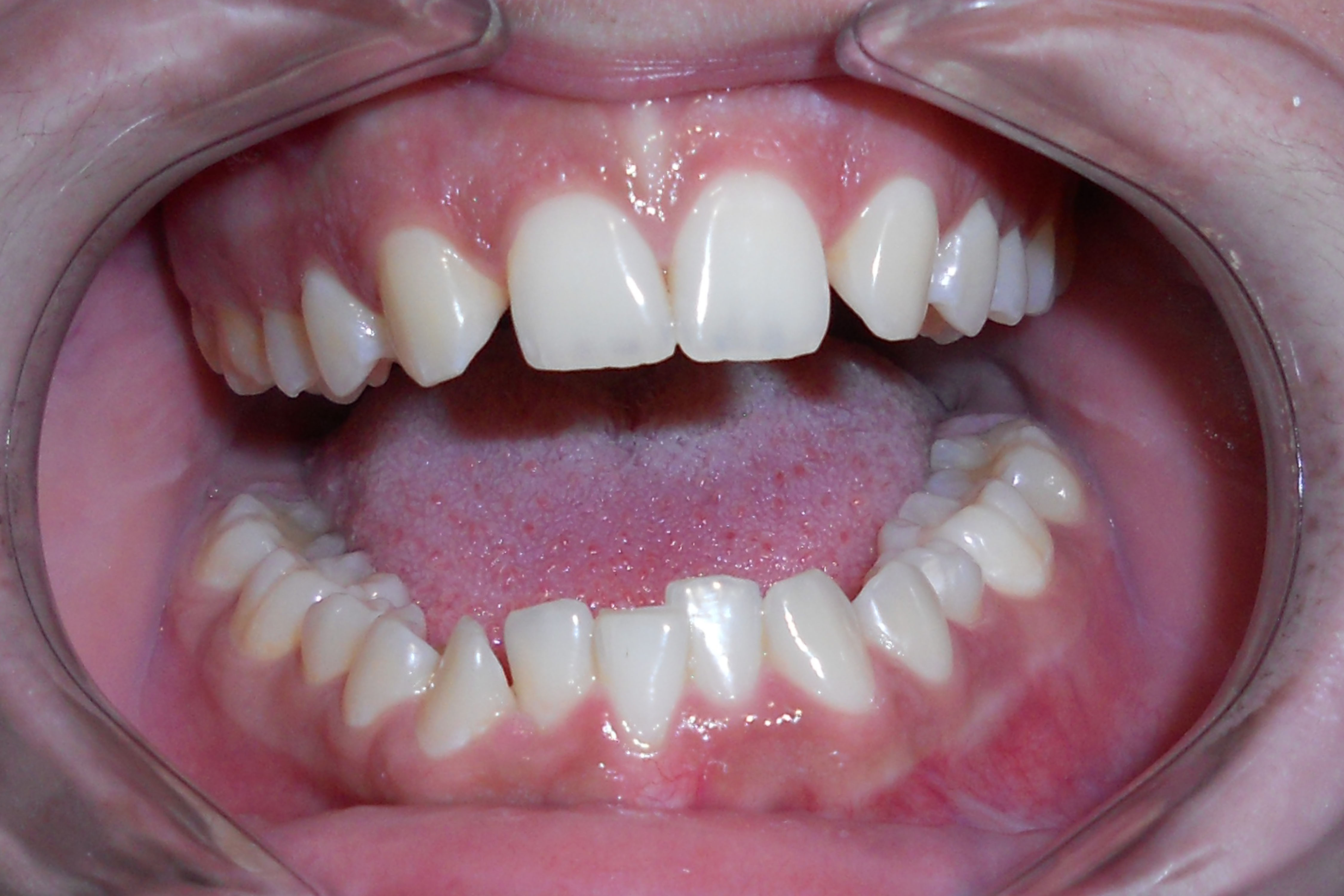
Although the presence of dental anomalies may occasion only a simple cosmetic problem with specific clinical considerations, the association with family polythelia has been scarcely reported.
This paper reports on a case of polythelia that is associated with dental anomalies in an Argentine family and discusses suggestions for a thorough dental history and medical consultation to prevent possible pathological conditions or potential malignant transformation of mammary tissues.
Authors
Downloads
Keywords
- Polythelia
- dental anomalies
- syndrome
- inheritance
- prevention
- cancer
References
. Ferrara P, Giorgio V, Vitelli O, Gatto A, Romano V, Bufalo FD, et al. . Polythelia: still a marker of urinary tract anomalies in children? Scand J Urol Nephrol. 2009;43:47–50.
. Köse R, Ozgoönül A, Bingöl I . Intraareolar polythelia: a rare anomaly. J Pak Med Assoc. 2012;62:499–500.
. Schmidt H , author. Supernumerary nipples: prevalence, size, sex and side predilection -- a prospective clinical study. Eur J Pediatr. 1998;157:821–823.
. Velanovich V , author. Ectopic breast tissue, supernumerary breasts, and supernumerary nipples. South Med J. 1995;88:903–906.
. McLaughlin MR, O'Connor NR, Ham P . Newborn skin: Part II. Birthmarks. Am Fam Physician. 2008;77:56–60.
. Goldschmidt E, Jacobsen N . Epibulbar lipodermoids, preauricular appendages and polythelia in four generations: a new hereditary syndrome? Ophthalmic Genet. 2010;31:81–83.
. Patil PG, Karemore V, Chavan S, Nimbalkar-Patil SR, Kulkarni R . Multidisciplinary treatment approach with one piece implants for congenitally missing maxillary lateral incisors: a case report. Eur J Prosthodont Restor Dent. 2012;20:92–96.
. Loukas M, Clarke P, Tubbs RS . Accessory breasts: a historical and current perspective. Am Surg. 2007;73:525–528.
. Revenga Arranz F, Paricio Rubio F, Akisse Chávez M, Hörnler Argárate C . Displasia Ectodérmica Anhidrótica. Reunión de la Sección Vasco-Navarra-Aragonesa Riojana de la Academia Española de Dermatología. Actas Dermosifiliogr. 1999;90:9096–9103.
. Taniyama T, Kitai N, Iguchi Y, Murakami S, Yanagi M, Takada K . Craniofacial morphology in a patient with Simpson-Golabi-Behmel syndrome. Cleft Palate Craniofac J. 2003;40:550–555.
. Galli-Tsinopoulou A, Krohn C, Schmidt H . Familial polythelia over three generations with polymastia in the youngest girl. Eur J Pediatr. 2001;160:375–377.
. Kulkarni M, Agrawal T, Kheur S . Tooth agenesis: newer concept. J Clin Pediatr Dent. 2011;36:65–69.
. Brasil SI, Fontenelle E . Caso para diagnóstico. An Bras Dermatol. 2009;84:194–196.
. Gutermuth J, Audring H, Voit C, Haas N . Primary carcinoma of ectopic axillary breast tissue. J Eur Acad Dermatol Venereol. 2006;20:217–221.
The copy rights of the articles published in Colombia Médica belong to the Universidad del Valle. The contents of the articles that appear in the Journal are exclusively the responsibility of the authors and do not necessarily reflect the opinions of the Editorial Committee of the Journal. It is allowed to reproduce the material published in Colombia Médica without prior authorization for non-commercial use















