Pyogenic liver abscess caused by Gemella morbillorum
Abstract
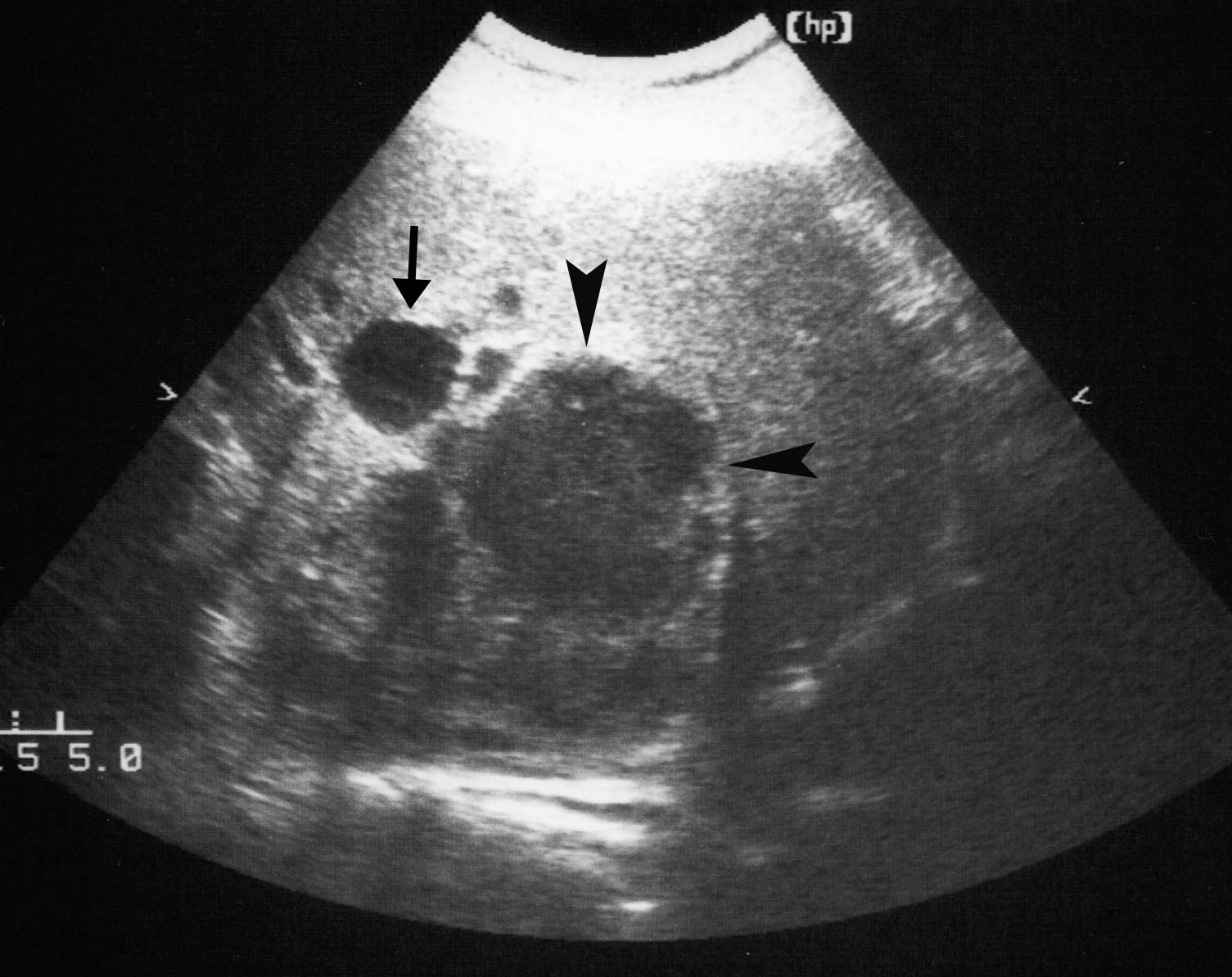
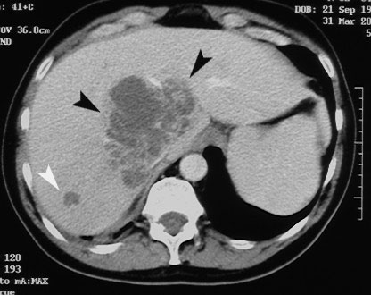
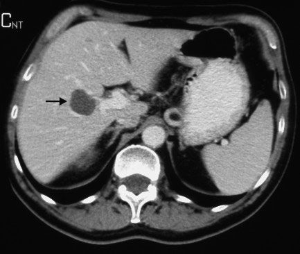
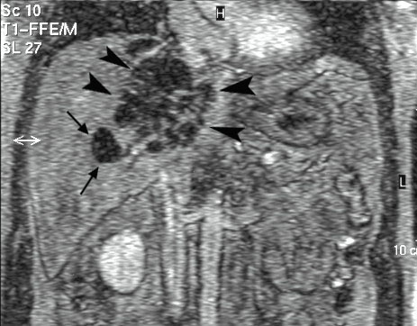
Even though Gemella morbillorum infection (GMI) is rare in humans, it may, nevertheless, cause endocarditis, meningitis, brain abscess, pleural empyema, nephritis, mediastinitis, and – occasionally – liver abscess. We are describing the case of a 64-year-old Caucasian male admitted with fever and abdominal pain. Laboratory parameters revealed inflammation signs, and instrumental examinations showed the presence of diverticula in the ascending colon. Abdominal ultrasound (US) and computer tomography (CT) showed two focal lesions in the right liver lobe. One had the characteristics of a simple cyst; the second was hypoechoic with a low density area, possibly containing necrotic material. US-guided needle biopsy was found negative for neoplastic cells, showing purulent infiltrate. Pus culture was found positive for GMI. Systemic antibiotic therapy, coupled with repeated US-guided needle aspiration, induced the resolution of the hepatic abscess. Few cases have been reported of hepatic abscess caused by GMI in immunocompetent non-cirrhotic subjects.Authors
Downloads
Keywords
- Abscess
- Liver
- Gemella Morbillorum
References
Nam HJ, Yoon SJ, John BM, Jung SH, Kim A, Ko Bs, et al. Liver abscess caused by Gemella morbillorum. Korean J Gastroenterol. 2005; 46(1): 56–9.
Calvo A, Colodro A, Ladero M, Hens A, Jimenéz J, Capitan JM, et al. Liver abscess in Crohn’s disease due to Gemella morbillorum. Rev Esp Enferm Dig. 2003; 95(6): 440–1.
Arroyo Masa E, Arroyo Masa M, Garcia Carrasco C, Martinez Giles MJ, Vazquez Labrador JM, Magro Ledesma D. Multiple hepatic abscesses due to Gemella morbillorum. Gastroenterol Hepatol. 2007; 30(4): 251–4.
Hsu CY, Su YC, Wang TL, Chong CF, Chen CC. Gemella morbillorum liver abscess. Scand J Infect Dis. 2007; 39(6-7): 637–8.
Corchado Berjano C, Vinagre Rodriguez G, Guiberteau Sanchez A, Romero Herrera G, Vazquez Labrador JM, Aguilera Musso D, et al. Liver abscess due to Gemella morbillorum. Gastroenterol Hepatol. 2007; 30(8): 507–8.
Millan Rodriguez AB, Jimenez Saez M, Herrerias Gutierrez JM. An infrequent presentation of Gemella morbillorum infection: liver abscess. Gastroenterol Hepatol. 2003; 26(6): 396.
Perea Garcia J, Del Valle Hernandez E.Medina Rodriguez J.Munoz Jimenez F Liver abscess: a rare manifestation of Gemella morbillorum infection. Med Clin (Barc) 2002; 118(6): 239.
The copy rights of the articles published in Colombia Médica belong to the Universidad del Valle. The contents of the articles that appear in the Journal are exclusively the responsibility of the authors and do not necessarily reflect the opinions of the Editorial Committee of the Journal. It is allowed to reproduce the material published in Colombia Médica without prior authorization for non-commercial use















